بررسی میکروسکوپی ادرار
مواردی که به طور طبیعی و غیر طبیعی در ادرار دیده می شوند :
1- سلول ها :
گلبول های سفید: عمدتا نوتروفیل اند و معمولا بی رنگ دیده می شوند.
گلبول های قرمز: به رنگ قرمز یا زرد دیده می شوند معمولا دیده نمی شوند مگر در حالت زخم و خراشیدگی مجرا
سلول های سنگ فرشی : معمولا در ادرار وجود دارند و ارزش تشخیصی خاصی ندارند.
سلول های پوششی پایه: مربوط به لگنچه و میزنای
سلول های پوششی متغییر : مربوط به لگنچه و میزنای ، معمولا کروی و چندوجهی اند، معمولا وجود دارند
سلول های توبولار کلیوی : مکعبی شکل اند.
2- بلور ها یا کریستال ها : وجود کریستال درادرار به رژیم غذایی و PH ادرار فرد بستگی دارد ولی در برخی اوقات نشان دهنده بیماری مانند سنگ کلیه می باشند.
انواع کریستال ها :
الف) کلسیم اگزالات : معمولا در PH خنثی تشکیل می شوند . بی رنگ و چند وجهی یا دمبلی یا بیضی شکل اند.
در اثر استفاده زیاد گوجه ، اسفناج ، ریواس و برخی اوقات نشانگر بیماری کلیوی است.
ب) اسید اوریک : در PH اسیدی تشکیل می شود و به شکل های مختلف لوزی ، بیضی و صفحات نامنظم و به صورت رنگ زرد تا قهوه ای دیده می شوند.
ج) تریپل فسفات : منشور های بی رنگ با 3 تا 6 وجهی ، معمولا تابوتی شکل اند و گاهی شبیه پر مانند هستند و معمولا در ادرار وجود دارند و گاهی نشانه ی بیماری اند.
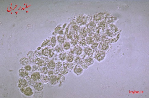
د)سیلندر: اشکال استوانه ای شکل که در اثر اتصال سلول ها یا مواد دیگر در ادرار شکل می گیرند و در حالت عادی در ادرار وجود ندارند.
1- سیلندر گلبول قرمز 2- سیلندر گلبول سفید 3- سیلندر سلول های پوششی 4- سیلندر مومی و چربی
عنوان آزمایش: بررسی وجود سیلندر ها، سلول ها، بلورها و…. در ادرار
وسایل و مواد مورد نیاز:
ادرار- دستگاه سانتریفیوژ- لام – لامل – میکروسکوپ
روش کار
Cc۵ ادرار را در یک لوله سانتریفیوژ می ریزیم و ۳ دقیقه آن را سانتریفیوژ می کنیم .٪۹۰ بالای آن را دور می ریزیم. چند قطره ادرار باقی مانده را خوب حل می کنیم. یک قطره از آن را روی لام قرار داده و لاملی بر روی آن قرار می دهیم و بعد از گذشت ۲ دقیقه مطالعه می کنیم.







منابع:
کتاب فیزیولوژی در آزمایشگاه …. تالیف دکتر ابراهیم نبئی
کتاب روش های آزمایشگاه فیزیولوژی جانوری … تالیف دکتر مومنی
